Artrose knie
Herkent u dit?
- Pijn rondom uw knie
- Stijfheid in de knie, met name nadat u gezeten heeft
- Zwelling in de knie
- Moeite met buigen of strekken van uw knie
Knieartrose; wat houdt het in?
Het kniegewricht bestaat uit; bovenbeen (femur), onderbeen (tibia) en knieschijf (patella). Het uiteinde van boven- en onderbeen bevat kraakbeen wat ervoor zorgt dat de knie soepel kan bewegen. Bij knieartrose is de kwaliteit van het kraakbeen verminderd en kunnen klachten ontstaan. In de volksmond ook wel bekend als slijtage wat hoort bij het proces van ouder worden. Artrose in de knie is daardoor een veelvoorkomende aandoening die door orthopeden ook wel gonartrose wordt genoemd.
Oorzaken en risicofactoren knieartrose
Kraakbeen is elastisch en glad bindweefsel en zorgt ervoor dat de knie makkelijk kan bewegen. Kraakbeen bestaat uit vocht en heeft iets weg van een spons. Door telkens te belasten en ontlasten zorg je ervoor dat de 'spons' water, zuurstof en voedingsstoffen op kan nemen. Bij te weinig of te veel belasten werkt deze sponsfunctie niet goed. Gedurende het leven worden gewrichten voortdurend blootgesteld aan krachten waardoor langzaam slijtage aan het kraakbeen ontstaat. Hierdoor wordt het kraakbeen dunner en ruwer. Meestal is de slijtage die tijdens het leven ontstaat gering en hoeft u hier geen klachten van te ervaren. Wanneer echter de kwaliteit van het kraakbeen sterk verminderd is, kan dit pijn, zwelling en een beperkte belastbaarheid van het gewricht veroorzaken.
Er zijn bepaalde risicofactoren die de kans op artrose verhogen zoals:
- Letsels van het gewricht, denk bij de knie aan meniscus- en kraakbeen letsel of een gescheurde voorste kruisband
- Ontsteking in het gewricht zoals bij reumatoïde artritis en jicht.
- Leeftijd, met toenemende leeftijd neemt de kans op het krijgen van artrose toe.
- Veel artrose in de familie, een bepaalde genetisch afwijking is hier nog niet voor gevonden.
- Overgewicht geeft op de gewichtsdragende gewrichten (heup en knie) meer kans op verslechtering van het kraakbeen.
Symptomen knieartrose
Kenmerken van artrose zijn:
- De klachten worden erger bij toenemende belasting van het gewricht.
- Stijfheid van het gewricht in de ochtend of na lang zitten.
- Opstartklachten, bijvoorbeeld bij het opstaan vanuit een stoel.
Vaak begint artrose in de knie met pijn en stijfheid. Deze pijn en/of stijfheid ervaart u tijdens het belasten of in rustmoment nadat u iets heeft gedaan. Zo kan u pijn en/of stijfheid ervaren ’s ochtends of na een tijdlang gezeten, gestaan of gelegen te hebben. Deze pijn wordt ook wel startpijn of ochtendstijfheid genoemd. Wanneer uw knie meer belast wordt kan stijfheid en pijnklachten meer aanwezig zijn.
Artrose in de knie kan leiden tot een zichtbare verandering van het kniegewricht. Bijvoorbeeld dat het gewricht breder wordt of een andere stand aanneemt. Dit heeft niet altijd een relatie met pijnklachten, het is wel een indicatie voor artrose.
Een ander symptoom is het kraken of knoepen (crepiteren) van het gewricht. Dit houdt in dat bij het bewegen van de knie een krakend geluid hoorbaar is. Crepiteren is op zichzelf staand geen symptoom. Dit krakende geluid kan namelijk zowel bij artrotische gewrichten als gezonde gewrichten aanwezig zijn.
Een ontsteking van het gewricht kan ontstaan. Dit is zicht- en voelbaar wanneer de knie dikker, roder, warmer en pijnlijker is en daarnaast neemt de beweeglijkheid (tijdelijk) af. In deze situatie kan het zinvol zijn het gewricht te ontlasten door bijvoorbeeld krukken te gebruiken. Wanneer het piekmoment van klachten afgenomen is, blijft het gewricht voor jaren weer redelijk tot goed belastbaar.
Diagnose
De orthopedisch chirurg kan de oorzaak van uw klachten op basis van een goed gesprek, lichamelijk onderzoek en een gewone röntgenfoto goed bepalen. De verdenking op artrose wordt daarbij sterker wanneer u:
- Ouder bent dan 50 jaar;
- De klachten erger worden bij toenemende belasting van het gewricht;
- De stijfheid 's ochtends niet langer duurt dan 30 minuten (bij reuma duurt dit bijvoorbeeld langer);
- Startklachten heeft, bijvoorbeeld bij het opstaan vanuit een stoel.

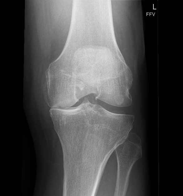
Een röntgenfoto werkt met straling die makkelijk door zachte weefsels heen gaat, maar wordt tegengehouden door dichte materialen. Botten bevatten veel kalk en zijn daardoor heel compact; zij houden de straling tegen en kleuren wit op de foto.
Kraakbeen bestaat echter voor het grootste deel uit water en eiwitten. Omdat kraakbeen geen kalk bevat, gaat de röntgenstraling er dwars doorheen, net als bij huid en spieren. Op de röntgenfoto lijkt het kraakbeen daarom "lucht" of een zwarte lege ruimte.
Juist die zwarte ruimte is voor de arts de belangrijkste informatiebron:
- Veel zwart tussen de botten? Dan zit er nog een gezonde, dikke laag kraakbeen die de straling doorlaat.
- Geen zwart (bot-op-bot)? Dan is het kraakbeen weggesleten en is er sprake van artrose.
Bij deze foto ziet u dat die ruimte aan één zijde bijna verdwenen is. Het bot komt daar direct op het andere bot, wat de pijn en stijfheid verklaart. Het contrast tussen de "open" gezonde kant van de knie en de "vernauwde" artrose kant knie maakt de diagnose voor iedereen direct begrijpelijk.

Hoewel een MRI-scan vaak moderner lijkt, is een röntgenfoto bij knieartrose om meerdere redenen de beste keuze:
Staande foto
Een röntgenfoto wordt staand gemaakt. Hierdoor ziet de arts precies hoe de knie zich houdt onder uw lichaamsgewicht. Op een MRI (die u liggend ondergaat) is de werkelijke versmalling van het gewricht vaak minder goed te zien.
Comfort
Voor een röntgenfoto hoeft u niet in een tunnel te liggen, wat voor mensen met claustrofobie een groot voordeel is. Bovendien is een röntgenfoto binnen enkele seconden gemaakt, terwijl een MRI veel langer duurt.
MRI bij 50-plussers
Een MRI laat bij mensen boven de 50 jaar eigenlijk altijd afwijkingen zien, ook bij mensen die helemaal geen klachten hebben. Die afwijkingen (zoals een klein scheurtje in de meniscus) zijn lang niet altijd de verklaring voor de pijn. De oorzaak is meestal simpelweg veroudering van het kraakbeen. De orthopeed kan dit uitstekend vaststellen met een gesprek, lichamelijk onderzoek en een gewone röntgenfoto. Een MRI is hiervoor niet nodig en kan zelfs leiden tot onnodige ongerustheid of behandelingen die niet helpen.
Wanneer wel een MRI van de knie?
Een MRI is wel zinvol wanneer de arts specifiek naar de weke delen van de knie wil kijken, zoals de kruisbanden of pezen. Dit gebeurt meestal na een acuut sportletsel, zoals een val of verdraaiing waarbij de knie dik wordt of "op slot" schiet.
Niet-operatieve behandelmogelijkheden
Bij knieartrose is een operatie bijna altijd de laatste stap. De richtlijn is om vrijwel altijd te starten met niet-operatieve (conservatieve) behandelingen. De reden hiervoor is simpel: deze methoden werken zeer goed en hebben nagenoeg geen risico op complicaties.

Als genoeg bewegen zelf niet lukt of klachten nemen toe, kan een fysiotherapeut u hierbij helpen. Allereerst bespreekt u met de fysiotherapeut wat uw klachten zijn en welke hulp u nodig heeft. Vervolgens volgt een lichamelijk onderzoek. Daarna wordt er in samenspraak een behandelplan opgesteld die vaak bestaat uit:
Voorlichting en advies
U krijgt informatie over artrose en hoe u hier in het dagelijks leven het beste mee om kunt gaan. Deze informatie is afgestemd op uw persoonlijke situatie.
Oefentherapie
Spierversterkende oefeningen geven goed resultaat bij artrose. De fysiotherapeut zal de oefeningen samen met u doornemen. Daarnaast zal er uitgelegd worden hoe de oefeningen rustig opgebouwd kunnen worden. Uiteindelijk is het van belang om de oefeningen thuis voort te zetten.
Oefenprogramma specifiek voor artroseklachten
Een voorbeeld van een bewezen effectief oefenprogramma voor artrose is GLA:D (Good Life with osteoArtritis Denmark). Het programma heeft als doel om uw kwaliteit van leven te verbeteren en een operatie voor een heup- of knieprothese uit te stellen of zelfs te voorkomen. De inhoud van het programma is een combinatie van voorlichting en advies over artrose en een oefenprogramma van 6 weken. Het GLA:D programma wordt gegeven door fysiotherapeuten die hierin gespecialiseerd zijn.
Studies tonen aan dat een gewichtsafname van slechts 5% tot 10% van het totale lichaamsgewicht al leidt tot vermindering van pijn en een verbeterde gewrichtsfunctie. Voor veel patiënten betekent dit dat de klachten zo beheersbaar worden dat een operatie niet langer noodzakelijk is. Bovendien verlaagt afvallen de ontstekingswaarden in het lichaam, wat de pijn bij artrose direct verzacht.
Beter resultaat bij operatie
Mocht een operatie in de toekomst toch nodig zijn, dan zorgt een lager gewicht voor minder operatierisico's en een sneller herstel. Het is dus altijd een zinvolle investering in uw gezondheid.
Paracetamol en NSAID tabletten
Wanneer de pijn gedurende een lange periode toeneemt of u weet dat u bij beweging meer pijn zult krijgen, dan zijn er een aantal medicijnen die kunnen helpen. Voorbeelden hiervan zijn een paracetamol en NSAID-tabletten. Onder deze NSAID-tabletten vallen ibuprofen, naproxen en diclofenac. Aan het gebruik van pijnmedicatie zitten enkele risico’s en mogelijke bijwerkingen. Daarom is het altijd van belang om uw pijn en de daarbij behorende medicatie met uw huisarts of orthopedisch chirurg te bespreken.
Een corrigerende kniebrace kan vooral zinvol zijn als:
- de artrose zich vooral aan één kant van de knie bevindt (bijvoorbeeld alleen aan de binnenzijde of buitenzijde);
- er sprake is van een standsafwijking (bijvoorbeeld een “O-been” of “X-been”);
- u pijn ervaart tijdens lopen of staan;
- andere behandelingen zoals fysiotherapie en pijnstilling onvoldoende effect hebben.
Op het plaatje hieronder ziet u hoe de zogenoemde Unloader One X (ontlastende brace) de druk in het aangedane deel van de knie kan verminderen door de belasting naar de andere kant te verplaatsen. Dit kan pijn verminderen en het lopen verbeteren.

Volgens richtlijnen maakt een brace onderdeel uit van de stapsgewijze (niet-operatieve) behandeling, waarbij eerst eenvoudige maatregelen worden geprobeerd en daarna pas aanvullende hulpmiddelen zoals een brace.
Wanneer schrijft een orthopeed een brace voor?
Een orthopeed of andere behandelaar kan een brace overwegen:
- als klachten blijven bestaan ondanks oefentherapie en leefstijladviezen;
- als er een duidelijke standsafwijking is die bijdraagt aan de klachten;
- als een operatie (nog) niet gewenst of niet nodig is;
- als tijdelijke ondersteuning nodig is om beter te kunnen bewegen.
Het effect verschilt per persoon. Daarom wordt een brace vaak tijdelijk geprobeerd, in combinatie met andere behandelingen zoals oefentherapie.
Wat als de brace niet werkt?
Niet iedereen heeft baat bij een brace. Als de klachten niet verminderen, kan het zijn dat:
- de brace niet goed past of niet het juiste type is;
- uw artrose niet geschikt is voor dit type behandeling;
- een andere behandeling beter past (bijvoorbeeld fysiotherapie, injecties of een operatie).
In dat geval bespreekt u met uw behandelaar welke vervolgstappen mogelijk zijn. Het is belangrijk om een brace niet als enige behandeling te zien, maar als onderdeel van een totaalplan.
Wanneer draagt u de brace?
Een kniebrace wordt meestal gedragen:
- tijdens activiteiten waarbij u klachten heeft, zoals lopen, werken of sporten;
- overdag, en niet continu 24 uur per dag;
- niet of minder tijdens rust (bijvoorbeeld zitten of liggen), tenzij anders geadviseerd.
Het doel is om de knie te ondersteunen op momenten dat deze belast wordt. Langdurig dragen zonder belasting heeft meestal weinig meerwaarde en kan soms zelfs oncomfortabel zijn.
Met een injectie kan de pijn van een geïrriteerd(e) gewricht, slijmbeurs of pees afnemen en zelfs verdwijnen. Met minder pijn kunt u beter bewegen en dat kan het herstel verder verbeteren.
Om soepel te kunnen bewegen, hebben onze gewrichten een soort smeermiddel nodig: de gewrichtsvloeistof. Deze vloeistof zorgt ervoor dat de gewrichten goed blijven werken. Dit vermindert wrijving, vangt schokken op en voedt het kraakbeen. Een belangrijk onderdeel van deze vloeistof is hyaluronzuur, dat helpt om alles soepel te laten bewegen.
Bij artrose raakt de gewrichtsvloeistof uit balans. Het gevolg is dat het smeermiddel niet meer goed werkt. Hierdoor kunnen gewrichten stijf en pijnlijk worden, en slijt het kraakbeen sneller. Helaas kan het lichaam beschadigd kraakbeen niet herstellen, wat de klachten op lange termijn verergert.
Wat doet een behandeling met hyaluronzuur?
Met een injectie van hyaluronzuur wordt de natuurlijke gewrichtsvloeistof aangevuld. Veel mensen merken hierdoor:
Minder pijn.
Betere beweeglijkheid.
Minder medicijnen nodig tegen de pijn.
Het hyaluronzuur in deze injecties lijkt precies op wat je lichaam zelf aanmaakt. Het wordt bovendien gemaakt zonder dierlijke eiwitten, zodat de kans op een allergische reactie heel klein is. De behandeling kan voor meerdere gewrichten worden gebruikt, zoals knieën, heupen en schouders.
Meer doen voor uw gewrichten
Behalve een injectie met hyaluronzuur kunt u zelf ook veel doen om uw gewrichten te helpen:
Blijf in beweging, maar belast de gewrichten niet te zwaar. Wandelen, fietsen of zwemmen is ideaal. Als u wat kilo’s kunt afvallen, geeft dat vaak ook verlichting.
Complicaties en pijn
Bij een injectie kan het zo zijn dat u nadien pijn heeft op de injectieplaats. U kunt tegen deze pijn bijvoorbeeld paracetamol gebruiken of de pijnlijke plek koelen met ijs. Krijgt u na de injectie last van een van onderstaande punten, dan moet u contact opnemen met de kliniek via 0485-476330:
Koorts
Roodheid en/of warm gevoel van de huid rondom de prikplek
Zeer incidenteel, een forse maar tijdelijke toename pijnklachten
ViaSana adviseert de groenlipmossel niet actief, omdat er volgens ons niet genoeg bewijs is dat het echt helpt tegen artrosepijn. De groenlipmossel is een soort mossel uit Nieuw-Zeeland waar visolie en bouwstoffen voor het kraakbeen in zitten. Sommige mensen vertellen dat ze zich er beter door voelen, maar in grote onderzoeken is dat effect niet duidelijk aangetoond.
ViaSana adviseert glucosamine niet actief, omdat het bewijs dat het echt werkt tegen artrose volgens ons te mager is. Glucosamine is een stofje dat van nature in ons kraakbeen zit en als supplement (pil) verkocht wordt. Hoewel sommige mensen zeggen dat ze minder pijn hebben, laten grote onderzoeken geen duidelijk verschil zien met een 'nepmiddel' (placebo). Omdat het geen kwaad kan, staat het u vrij om het zelf te proberen zolang een operatie nog niet nodig is. U kunt dan zelf ervaren of het bij u persoonlijk iets doet.
ViaSana adviseert een PRP-behandeling op dit moment niet actief bij knieartrose, omdat er nog onvoldoende bewijs is dat het op de lange termijn echt helpt. Bij deze behandeling wordt uw eigen bloed afgenomen en in een centrifuge rondgedraaid om de bloedplaatjes te scheiden. Deze plaatjes, die vol zitten met groeistoffen, worden daarna in uw knie gespoten om de ontsteking te remmen. Hoewel het een veilige methode is, weten we nog niet goed voor wie het precies werkt en hoe lang het effect aanhoudt. Daarom bieden wij deze behandeling bij ViaSana nu niet aan.
Operatieve behandelmogelijkheden
Een operatie is pas zinvol als de slijtage op de röntgenfoto ernstig is en u door de pijn nauwelijks meer kunt lopen of slapen. Een operatie werkt het best wanneer alle niet-operatieve opties volledig zijn benut.

Bij ernstige knieartrose is het gewrichtskraakbeen zo ernstig beschadigd dat pijn en bewegingsbeperking u hinderen in het dagelijks leven. Fysiotherapie en andere niet-operatieve behandelmethodes hebben u niet (voldoende) geholpen. Afhankelijk van de plek en grootte van de artrose kan een halve of een hele knieprothese geplaatst worden.
Als er sprake is van een standsafwijking van de knie in combinatie met artrose, kan de orthopedisch chirurg mogelijk een standbeencorrectie uitvoeren. Door verandering van de stand van de been-as, kan de druk op het pijnlijke gedeelte van de knie verminderd worden.
Vroeger dacht men dat het "schoonmaken" van het gewricht door rafelig kraakbeen of de hele meniscus weg te halen de knie rustiger zou maken. De laatste jaren blijkt uit onderzoek het tegenovergestelde: kraakbeen en menisci werken als de schokdempers van uw knie. Door ze weg te halen, wordt de natuurlijke bescherming verwijderd, waardoor de botten nog harder op elkaar klappen. Dit versnelt de artrose enorm en zorgt op de lange termijn voor veel meer pijn.
Wanneer wel een kijkoperatie?
Een kijkoperatie is vooral zinvol bij mechanische blokkades in de knie, zoals een losgeslagen stukje bot of kraakbeen (een zogenaamde 'gewrichtsmuis') dat fysiek tussen het gewricht klem komt te zitten. Ook wanneer een meniscus zo fors gescheurd is dat de knie echt op slot schiet en niet meer kan strekken of buigen, kan een chirurg dit via een kijkoperatie herstellen of bijtrimmen.
ViaSana biedt kniedistractie op dit moment niet aan, omdat nog niet voldoende bewezen is dat het op de lange termijn echt goed werkt. Daarom zit deze behandeling ook nog niet in het standaardpakket van de zorgverzekering. Het zijn wel veelbelovende studies die wij nauwgezet volgen. Alleen een kleine groep patiënten die aan zeer strenge eisen voldoet, kan aan dit onderzoek meedoen. De orthopedisch chirurg kan u eventueel wel doorsturen naar een ziekenhuis waar dit onderzoek wordt gedaan.
Wat houdt het in? Bij kniedistractie wordt het kniegewricht met een metalen frame (aan de buitenkant van het been) tijdelijk een klein stukje uit elkaar getrokken. Hierdoor komt er even geen druk op het gewricht, waardoor het kraakbeen rust krijgt en de kans krijgt om zich een klein beetje te herstellen.
ViaSana biedt de kunstmeniscus nu niet aan, omdat er nog onvoldoende wetenschappelijk bewijs is dat het effectief is. Het wordt daarom ook nog niet vergoed vanuit de basisverzekering. Omdat de eerste resultaten uit onderzoek veelbelovend zijn, blijven wij de ontwikkelingen wel volgen. Slechts een zeer selecte groep patiënten kan momenteel deelnemen aan deze studies. Als u hiervoor in aanmerking komt, kan de orthopedisch chirurg u doorverwijzen naar een gespecialiseerd centrum dat dit onderzoek uitvoert.
Wat houdt het in? Een kunstmeniscus is een nagemaakte, kunststof schokdemper die operatief in de knie wordt geplaatst. Het is bedoeld voor mensen met beginnende artrose bij wie de eigen meniscus (deels) weg is, om de natuurlijke drukverdeling in de knie te herstellen en zo verdere slijtage te remmen.
Beweegapp voor mensen met knie artrose
MotiMove is een beweegapp voor mensen met pijn. Heeft u artrose in uw knie? Deze app helpt:
- Oefeningen – Kies oefeningen afgestemd op jouw gewrichten en pijnniveau.
- Pijndagboek – Volg je pijnpatronen en ontdek wat werkt.
- Activiteitenmonitor – Houd je activiteit in balans met slimme tips.
- Dagelijkse pijnfeitjes – Leer van artsen, fysiotherapeuten, psychologen en diëtisten.


Herkenbare klachten? Laat ons u vrijblijvend adviseren op basis van uw persoonlijke situatie
Maken een vrijblijvende afspraak of test de ernst van uw klachten aan de hand van een de online zelftest.
Zo weet u hoe u er voor staat en of verdere behandeling een optie kan zijn.
Kliniek ViaSana is gewaardeerd op Zorgkaart Nederland en heeft gemiddeld een cijfer van 9 2
Bekijk alle patiëntervaringenDit mag u van ons verwachten